最近硅谷在脑机接口圈闹得挺凶,OpenAI的SamAltman偷偷搞了家叫MergeLabs的公司,专门做超声脑机接口,明摆着要跟马斯克的Neural...
2025-10-18 0
最近硅谷在脑机接口圈闹得挺凶,OpenAI的SamAltman偷偷搞了家叫MergeLabs的公司,专门做超声脑机接口,明摆着要跟马斯克的Neuralink对着干。
这边马斯克还在靠钻开脑膜插电极的侵入式技术撑场面,那边Sam已经把“基因编辑+超声”当成新打法了。
有意思的是,国内创业者彭雷也没闲着,一边用脑虎做传统电学脑机,一边又开了家格式塔专攻超声,等于把两条技术路线都占了。
说实话,现在超声脑机能这么火,核心还是它解决了传统电学的大麻烦。
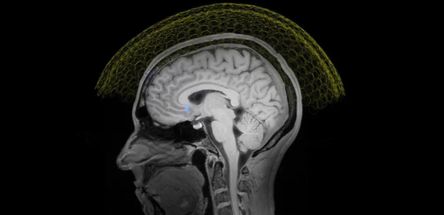
马斯克的Neuralink看着厉害,2025年都植入12个患者了,但你知道它能覆盖多少脑区吗?也就大脑表面的千分之一点三,跟指甲盖儿大小差不多。
电极倒是能实时抓信号,延迟能控制在10微秒内,但得钻开脑膜往里面插,风险先不说,想解码意识、记忆这种复杂功能,这点覆盖面积根本不够。
国内的脑虎也差不多,电极数量最多256个,跟Neuralink比差个两三年,超声脑机就不一样了,不用开颅,戴个头盔或者固定个头架就能用。
它不抓电信号,改读神经元旁边的血流信号神经元一放电就需要供血,血流变化跟信号是挂钩的。
我查过彭雷团队的数据,同样大小的设备,超声能覆盖四分之一的脑区,比Neuralink强太多了。
信号延迟是比电学慢点儿,大概0.5到1.5秒,但比功能核磁的好几秒强不少,对付慢性疼痛、失眠这些问题完全够用。
本来想电学路线都发展十年了,应该是主流,后来发现彭雷说的“格式塔理论”挺有道理大脑是个整体,不是把局部信号拼起来就行。
你就算把Neuralink的电极插满大脑表面,也解不出意识是咋来的,超声刚好能补这个坑,它能看全脑的信号联动,这才是研究记忆、情感的关键。
老实讲,要是想做“全脑解码”,超声这条路比电学靠谱多了,至少不用跟脑膜“死磕”。
当然也不是说电学就没用,比如渐冻症患者要控制鼠标,电学的实时性确实强,插了电极就能用。
但要是想治阿尔茨海默、中风这些需要全脑调控的病,超声的优势就显出来了,毕竟没人愿意为了治失眠就开个颅,非侵入式这一点,老百姓接受度肯定更高。
技术再好也得落地,超声脑机现在能解决哪些实际问题呢?彭雷团队最先试的是慢性疼痛,美国那边已经有临床试验了用超声对着大脑里的ACC脑区刺激40分钟,患者疼痛感能降一大半,还能维持七天。
为啥先搞疼痛?美国芬太尼滥用太严重了,大家都想找非药物的治疗方式,超声刚好踩中这个需求。
国内这边更倾向于中风康复和阿尔茨海默。
中风患者光中国就超2000万,缺血性中风会让神经元批量坏死,超声能通过调控减少坏死数量;阿尔茨海默更不用说了,全球药企砸了上千亿美金都没搞出好药,超声能加速脑子里有害蛋白的代谢,还能打开血脑屏障帮药物进去,这可是个新方向。
我还听说他们在试失眠,有常年吃安眠药的人,做超声治疗时直接在病床上睡着了,虽然还没普及,但想想都觉得有用现在多少人靠褪黑素续命啊。
不过商业化没那么容易,医疗器械审批是道坎,三类器械在美国要10年、10亿美金,国内快点儿也得7年。
而且超声脑机还面临个问题:隔着颅骨信号会散射,每个人颅骨厚度不一样,聚焦精度不好控制。
彭雷他们想了个办法,搞“半侵入式”去掉一块颅骨但不破脑膜,这样信号就清晰多了,还不用担心里面的脑组织受伤。
说实话,我觉得中美在这事儿上各有优势,美国技术想得远,比如Sam要搞基因改造,让大脑更适配超声;中国胜在临床推进快,患者多还便宜,国内做一次临床实验就几十万,美国得上百万美金。
彭雷说现在中美差距比电学小多了,我信这话毕竟脑机接口最终要落地到患者身上,谁能先把药监局的证拿到,谁就能占先机。
现在硅谷除了MergeLabs,还有Nudge、ForestNeurotech这些公司在抢赛道,Nudge刚融了1亿美金,团队里好多Neuralink的旧部;国内格式塔也拿到了陈天桥的投资,还在跟医院合作推进临床。
更有意思的是AI的加入,DeepMind的创始人Demis说神经科学和AI是“硬币两面”,超声脑机获取的全脑数据能帮AI更懂人类大脑,AI又能反过来优化超声的信号解码。
以后要是真能实现“人脑跟AI高通量连接”,那可就不是科幻了,不过也别太乐观,现在说“记忆上传”“意识模拟”还太早。
马斯克说2028年要实现记忆上传,彭雷都觉得他太乐观现在连意识的原理都没搞懂,怎么上传?超声脑机当前的目标还是解决实际医疗问题,先把疼痛、失眠、中风这些事儿搞定,再谈更玄乎的。
超声脑机现在站在了风口上,硅谷大佬和国内资本都在押注,它不是要取代电学路线,而是补了全脑调控的坑。
对普通人来说,以后治慢性疼痛不用吃止痛药,治失眠不用吃安眠药,这就够了。
至于能不能追上硅谷,我觉得国内有临床和成本优势,只要能稳住节奏推进审批,说不定真能在这个赛道上领跑。
相关文章
最近硅谷在脑机接口圈闹得挺凶,OpenAI的SamAltman偷偷搞了家叫MergeLabs的公司,专门做超声脑机接口,明摆着要跟马斯克的Neural...
2025-10-18 0
央视新闻 10月16日,中国天津国际直升机博览会开幕。今明(18—19日)两天,直博会迎来公众开放日。作为一个有飞行表演的直升机专业展会,此次直博会的...
2025-10-18 0
央视财经 “十四五”期间,我国建成了全球技术领先、规模最大的信息通信网络,5G基站达到459.8万个,网络能力迈进“双千兆”时代。而在这庞大的网络基础...
2025-10-18 0
稀土被称为“工业维生素”,如今稀土却成了战略物资,让超级大国坐立不安,它看似微不足道,却决定着战斗机性能和电动汽车的续航。而如今中国掌控着全球近九成的...
2025-10-18 0
10月15日,第138届中国进出口商品交易会(简称“广交会”)开幕。继上一届首设服务机器人专区后,本届广交会继续专门设置服务机器人专区,吸引了46家机...
2025-10-18 0
证券之星消息,光威复材(300699 10月18日在投资者关系平台上答复投资者关心的问题。投资者提问:尊敬的董秘你好,请问现在公司生产的碳纤维有没有开...
2025-10-18 0
根据科技媒体huaweicentral消息,华为宣布将于10月22日举办HarmonyOS 6.0专场发布活动,活动时间为当日14:30。华为已通过微...
2025-10-18 1
个体经营的小老板买手机更注重实用性,同时还要具备一点商务属性。此类用户可以考虑那些性价比高、外观还很大气的机型,或者等老款旗舰手机降价,再入手降幅较大...
2025-10-18 1
发表评论